Diagnostican y evitan daño cerebral en menores

Con el objetivo de prevenir secuelas neurológicas y cognoscitivas en recién nacidos con factores de riesgo que se presentan durante el embarazo y alrededor del nacimiento, especialistas de la Unidad de Investigación en Neurodesarrollo de la Universidad Nacional Autónoma de México (UNAM), con sede en Querétaro, desarrollan métodos de diagnóstico y tratamiento temprano.
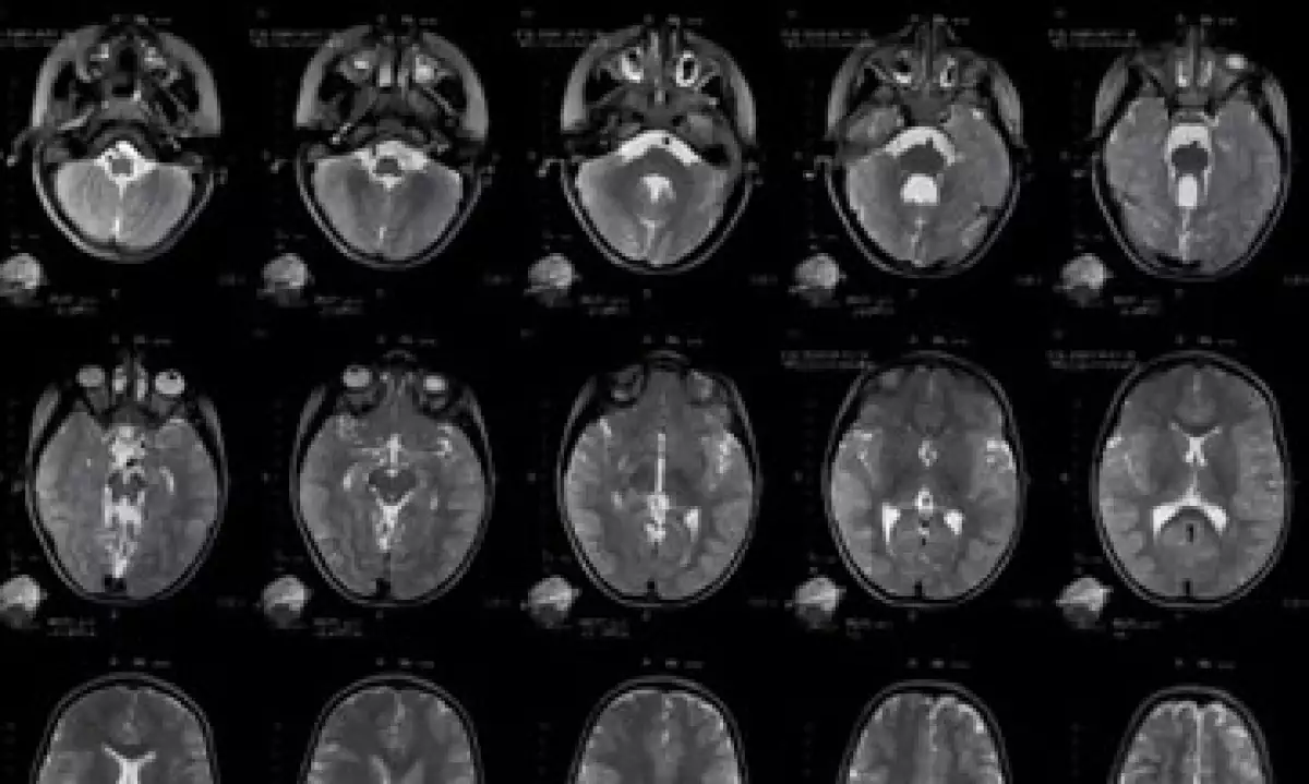
A los menores que se les identifican factores de riesgo que pudieran producir daño cerebral se les realizan estudios con técnicas de resonancia magnética para saber si existen alteraciones estructurales: para detectar riesgos funcionales se practican electroencefalogramas, mientras que para evaluar disfunciones conductuales se emplea la exploración neuropediátrica.
“Si el daño cerebral es diagnosticado durante los primeros tres meses de vida y se inicia una terapia habilitadora de forma inmediata, las secuelas del daño cerebral, como sordera o problemas de aprendizaje, pueden minimizarse o evitarse”, explicó Harmony Baillet, directora de la unidad de investigación.
Después de evaluar al niño durante varios días, los especialistas establecen un programa individual de tratamiento. Posteriormente, realizan sesiones diarias de 40 minutos cada una, las cuales además se las enseñan a los padres para que ellos las realicen en casa cuatro o cinco veces al día.
Es un programa intensivo pero los resultados son positivos. De los niños que presentan problemas en su desarrollo motor, 80% llegan a habilitarse sin ninguna secuela; los bebés prematuros extremos, hasta 50%; y de los niños con problemas de lenguaje se recuperan 100%.
“Es un trabajo de habilitación, es decir, es un tratamiento temprano y no de rehabilitación cuando el daño ya está establecido”, precisó la directora.
Diagnóstico oportuno
El grupo de investigadores tiene un laboratorio con una unidad maternofetal en el Hospital de Especialidades del Niño y la Mujer, ubicado en la ciudad de Querétaro. Allí se detectan los factores de riesgo y se les practica la evaluación y el diagnóstico al momento de nacer o dentro de los primeros dos meses de vida, edad en la que ingresan a la Unidad de Investigación en Neurodesarrollo.
Los bebés que entran al programa de neurohabilitación son los prematuros menores de 37 semanas de gestación. También si durante el embarazo existieron infecciones intrauterinas, preeclampsia, amenazas de aborto, consumo de drogas o desnutrición; si durante el parto el bebé tuvo asfixia, circular de cordón o placenta previa; o si después del parto el recién nacido presentó bajo peso, infección grave o bilirrubina muy alta.
El método Katona
La doctora y su equipo de trabajo han implementado una técnica llamada neurohabilitación Katona, que fue desarrollada en 1966 en Hungría por Ferenc Katona.
Este método consiste en colocar al pequeño en determinadas posiciones y analizar si responde como un niño sano. Por ejemplo, acostar al niño y jalarlo de las manos para que se levante (un niño normal podrá colocarse en forma vertical y ver directamente a los ojos de la madre, o de quien le practique la técnica); sujetarlo de los muslos sin ningún apoyo, “en el aire”, para que pueda levantar su espalda en forma vertical; o ponerlo “a gatas” (si el niño se mueve como si gateara y puede hacer las demás posturas, significa que su desarrollo es correcto).
En síntesis, se trata de forzar a los bebés a que realicen las posturas que deberían hacer de manera natural. “Este método de neurohabilitación contempla aspectos motores, sensoriales y cognitivos”, aseguró la investigadora.
El grupo multidisciplinario que participa en estos trabajos de investigación está conformado por neuropediatras, psicólogos, oftalmólogos, físicos, médicos, nutriólogos, técnicos, neurocientíficos y neurorradiólogos.
El programa de neurohabilitación es integral, los psicólogos brindan apoyo a los padres porque cuando se tiene a un hijo con alteraciones en su desarrollo, ellos también se ven afectados.
Además, como parte de los servicios, la Unidad de Investigación en Neurodesarrollo tiene convenios con hospitales especializados hacia donde canalizan a los niños cuando el caso lo requiere.
*MCT Noticias es la agencia informativa de Conacyt.